
Beyaz Estetik
Beyazlatma (Bleaching)
Beyazlatma, dişlerin yapısında (mine ve dentin tabakasında) oluşan ve estetik açıdan sorun yaratan renkleşmeleri giderme işlemidir . Renkleşmeler genellikle yaşlılık, boyar maddelerin (kahve, çay, kola, sigara vb.) tüketimi, travma, kanal tedavisi, eski protezler, kaplamalar ve de dolgular nedeniyle oluşur. Dişlerin gelişim sürecinde kullanılan antibiyotik (tetrasiklin) veya aşırı flor tüketimi de dişlerde renklenmelere yol açabilir.
Beyazlatma işlemi iki şekilde yapılabilir:
-
Home Bleaching (Ev tipi)
-
Office Bleaching (Muayenehane tipi)

1. Home Bleaching (Ev tipi)
Hekimin ağızdan ölçü almasını takiben, dişlerin üzerine takabilecek ince ve elastik kalıpları hazırlanır. Bireysel olarak hazırlanan özel kalıbın ön bölgesindeki ufak haznelere hasta evde ilaç yerleştirerek bu kalıbı dişlerin üstüne günde en az 6 - 8 saat süreyle takar.
Bu işlemin uyku esnasında yapılması, kişinin günlük yaşantısını aksatmaz. Tedavi, elde edilecek beyazlık derecesi ve de dişlerde oluşabilecek hassasiyete bağlı olarak ortalama 1 - 4 hafta içinde sonlandırılmalıdır.
Bu tedavi esnasında özellikle çay-kahve ve şarap gibi boyar maddelerle sigara tüketimininden kaçınılmalıdır. Aksi takdirde tedavi ters etki gösterip, daha yoğun renkleşmelere neden olacaktır.

2. Office Bleaching (Muayenehane tipi)
Bu yöntem klinikte ve de hekim kontrolünde yapılan beyazlatmadır. Burada kullanılan solüsyonun ev tipinde kullanılana oranla çok daha yüksek konsantrasyonda olması, tecrubeli bir hekimin kontrolünü gerektirmektedir. Bu yöntemde tedavi süresi çok daha kısalacakken, hassasiyet riski artabilmektedir.
Her iki yöntemde etkin olmasına rağmen tercih, renklenmenin derecesine, tedavinin ne kadar çabuk sonlandırılmak istendiğine ve hekimin görüşüne bağlıdır.
Her iki yöntemde de özellikle unutulmaması gereken nokta, elde edilen beyazlığın ömür boyu kalıcı olmamasıdır. Daha önceden renkleşmeye neden olan etmenlerin devamlılığı ve de özellikle çay-kahve ve şarap gibi boyar maddelerle sigara tüketiminin miktarı, renkleşmenin geri dönüş süresini belirleyecektir.


Laminate Veneerler
Dişlerin sadece ağız dışından görülebilen dış yüzeylerini restore etmek amacı ile estetik materyallerden yapılan bir çeşit bölümlü kuron protezidir. Estetik amaçla uygulanabilecek restorasyonlar arasında en konservatif olanıdır. Çoğunlukla dişte yapılacak 0,5 mm. kadar bir aşındırma yeterli olacaktır. Bu sayede dişin ön yüzeyinde oluşacak minimum madde kaybıyla hem üstün bir estetik sağlanmış olacak; hem de dişin diğer yüzeylerinin doğal yapısı ve diş-dişeti ilişkisi korunmuş olacaktır.

Kompozit veya akrilik gibi diş diş rengindeki maddelerden de üretilebilmesine rağmen günümüzde, estetik ve biyolojik avantajlarından dolayı seramik laminate veneerler daha çok tercih edilmektedir.

Uygulama Alanları:
-
Diş çürükleri veya kırıklarına bağlı küçük madde kayıpları
-
Çapraşıklıkların düzeltilmesi
-
Diastemaların (diş aralıkları) kapatılması
-
Dişlerdeki aşınmaların giderilmesi
-
Dişlerde ilaç kullanımı ve aşırı flor kullanımına bağlı renkleşmelerin düzeltilmesi
-
Doğuştan olan renkleşmelerin düzeltilmesi
-
Dişlerdeki şekilsel ve yapısal bozuklukların düzeltilmesi
-
Beyaz bir gülüş sağlanması
-
Dişlerin boylarının uzatılması

Metal Desteksiz (Tam Seramik) Kuron ve Köprü Protezleri
Kuron protezleri, dişlerin ağız içerisinde görülen kısımlarını restore etmeye yarayan ve çeşitli materyallerden yapılan protezlerdir. Genelde dişlerde dolgu yapılamayacak kadar fazla madde kaybı olduğunda veya farklı estetik beklentilerin mevcutiyetinde tercih edilir.
Kuron Protezlerinin Uygulama Alanları:
-
Diş çürükleri veya kırıklarına bağlı küçük madde kayıpları
-
Çapraşıklıkların düzeltilmesi
-
Diastemaların (diş aralıkları) kapatılması
-
Dişlerdeki aşınmaların giderilmesi
-
Dişlerde ilaç kullanımı ve aşırı flor kullanımına bağlı renkleşmelerin düzeltilmesi
-
Doğuştan olan renkleşmelerin düzeltilmesi
-
Beyaz bir gülüş sağlanması
-
Dişlerin boylarının uzatılması


Köprü protezleri, gövde ve dayanak yoluyla doğal dişler üzerine gelen çiğneme basınçlarını periodonsiyum (dişi çevreleyen dokular) ve alveol kemiği (diş mevcutiyetinde dişi çevreleyen kemik) aracılığıyla çene kemiğine ileten protezdir. Dişsiz boşluğun aşırı uzun olmadığı ve de boşluğun her iki tarafındaki dişlerin sağlıklı olduğu durumlarda uygulanır.
Köprü Protezlerinin Yapım Amaçları:
-
Kaybedilen dişin yerini alır
-
Fonksiyon
-
Estetik
-
Fonasyon gibi faktörlerin devamlılığını sağlar.
Zirkonyum Altyapılar
Artan estetik beklentiler, metal altyapıların yerine diş renginde altyap arayışlarının artmasına neden olmuştur. Tam seramik sistemler uzun yıllardır tek diş restorasyonlarında veya ön bölgelerdeki kısa köprü protezlerinde başarıyla uygulansa da, çiğneme kuvvetlerinin fazla olduğu bölgelerde ve de 3 üyeden uzun köprü protezlerinde uygulanmaları endike değildi. Zirkonyum uzun yıllardır uzay sanayinde, otomotiv sanayinde ve de ortopedide kalça protezlerinde başarıyla kullanılan yüksek dirence sahip bir materyaldir.

Son yıllarda bilgisayar destekli tasarım ve de üretim yapan sistemlerin diş hekimliğinde yaygınlaşması ile birlikte, zirkonyum da kuron ve köprü protezleri için altyapı hazırlanmasında başarıyla kullanılmaya başlanmıştır. Zirkonyumun kullanımıyla, klasik metal destekli köprü protezlerinin uygulanabileceği her vakada metal içermeyen, diş renginde restorasyonların yapılabilmesi de artık mümkün olmuştur.
Estetik ve doğal bir görüntüye sahip dişler, sosyal ilişkilerin kurulmasında önemli bir anahtarıdır, kişinin kendine güvenmesini sağlar. Kusursuz dişler ve kazanılmış bir gülüş bedensel sağlığın, sosyal ilişkilerin ve mesleki başarının tanımında önemli bir rol oynar. Estetik ve de doğalı en iyi taklit edebilen mükemmel restorasyonlar yönündeki arayışlar, tam seramik sistemlerinin geliştirilmesini sağlamıştır. Bu materyallerin optik özellikleri ve bütünlüğü, doğal diş dokusunun mükemmel bir biçimde taklit edilebilmesini sağlamaktadır.

Restorasyonun üzerine gelen ışık, farklı seramik tabakalarında kırılarak dişetine iletilir. Bu sayede dişeti doğal dişlerde olduğu gibi canlı, taze, pembe bir renk elde eder, arzulanan pembe estetik sağlanmış olur. Metal destekli restorasyonlarda ise gelen ışık metal yüzeyinden yansıyarak, doğal olmayan opak bir görüntüye ve de dişeti kenarlarında gri bir bant görülmesine neden olur.
Tam Seramik Sistemlerin Başlıca Avantajları:
-
Işık geçişine izin verirler ve restorasyon kenarında dişetinin rengi korunur.
-
Yüksek bir estetik potansiyeline sahiptirler.
-
Optik özellikleri bakımından doğal dişlerle yüksek benzerlik gösterirler.
-
Mikrosızıntının minimum olması nedeniyle restorasyon altında sekonder çürüklere daha az rastlanır.
-
Doku uyumu tüm restoratif materyaller içinde en iyisidir.
-
Yüksek doku uyumu sayesinde klinik ömürleri daha uzundur.
-
Metal alt yapının kullanılmaması, metal alerjisi ve toksik reaksiyon riskini ortadan kaldırır.
-
Genellikle bilgisayar destekli teknolojiler yardımıyla üretilmelerinden dolayı üretimleri daha kolay ve güvenilirdir.
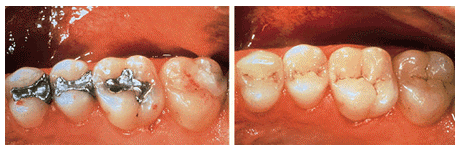
Kompozit Reçineler (Diş Renginde Dolgular, Estetik Dolgular, Adeziv Sistemler)
Özellikle estetiğin ön planda olduğu vakalarda tercih edilen diş renginde restorasyonlardır. Dişle olan bağlantı özelliklerinden dolayı, amalgam dolgularda olduğu gibi tutuculuk sağlamak amacıyla dişten madde kaldırılmasına gerek yoktur; sadece çürüğün kaldırılması yeterlidir. Kompozit dolgular, hazırlanan kaviteye tabaka tabaka yerleştirilir ve her tabaka özel bir ışık ile sertleştirilir. Bu işlem bitince kompozit dolgular dişe göre şekillendirilir ve düzeltilir.

Kompozitler, yalnızca çürükleri restore etmek için değil, dişlerin rengini ve biçimini değiştirerek kozmetik etkileri için de kullanılabilmektedirler. En önemli dezavantajları, işlem sonrası bir süre hassasiyet olmasıdır. Dolguların renkleri, kahve, çay gibi boyayıcı yiyeceklerle de hafifçe değişebilmektedir.


Amalgam restorasyonların aksine, kompozit dolgular tek seansta tamamlanır. Tedavinin ardından hasta dilerini normal olarak kullanabilir. En önemli dezavantajları ise, işlem sonrası bir süre hassasiyet olmasıdır.
İnley ve Onleyler
Kanal tedavisi, çürük ve travma gibi etkenlere bağlı olarak dişlerde oluşan madde kaybını, dişin sadece eksik olan kısımlarını tamamlayacak biçimde restore eden bir çeşit bölümlü kuron protezi veya daha basit bir anlatımla laboratuvarda altın, çeşitli alaşımlar, kompozit veya porselenden hazırlanmış bir çeşit dolgudur.

İnlay ve onlaylerde de aynı laminate veneerlerde olduğu gibi dişin sağlam kısmı doğal haliyle korunmaktadır. Özellikle estetik ve de konfor beklentisi yüksek olan hastaların arka bölgedeki dişlerinde, metalik ve koyu renk görünümlü amalgam restorasyonların yerine tercih edilmektedir. Ayrıca çok sayıda dolgu yapılması gerektiğinde, tek seansta yapılacak diş hazırlığı ve ölçü alma aşamasını takiben, laboratuvarda hazırlanan porselen dolgular ikinci seansta yerleştirilerek zamandan tasarruf sağlar. Aynı şekilde restorasyonların klasik dolgular gibi ağız içinde değil de laboratuvarda hazırlanması, mükemmel bir uyum sağlar.

Amalgamın içeriğindeki civanın aksine porselen biyolojik olarak insan vücuduyla en uyumlu materyallerden biridir. Bunun yanında yüksek estetik özellikleri de porseleni tercih sebebi yapmaktadır. Tüm bu faktörlerden dolayı metal alaşımı ve kompozitlerin kullanımı günümüzde oldukça azalmış, yerini porselen inlaylere bırakmıştır.

Porselen İnley ve Onleylerin Avantajları:
-
Estetiktirler
-
Uzun ömürlüdürler
-
Kalan sağlam diş dokusunu korurlar
-
Kenar sızıntısı ve yeni çürük oluşma riski minimumdur
-
Biyolojik uyumları iyidir
-
Allerjik reaksiyon göstermezler
-
Bakteri plağı tutulumu azdır
-
Zaman tasarrufu sağlarlar
-
Diş-restorasyon uyumu çok hassastır.


